Le syndrome myopathie à inclusions - maladie de Paget - démence frontotemporale se caractérise par des faiblesses des muscles distaux et proximaux survenant au début de l'âge adulte, une maladie de Paget des os de survenue précoce et un syndrome frontotemporal.
La faiblesse musculaire implique tous les muscles y compris les muscles respiratoires et le muscle cardiaque avec apparition d'une cardiomyopathie dilatée hypokinétique dans la phase tardive de la maladie.
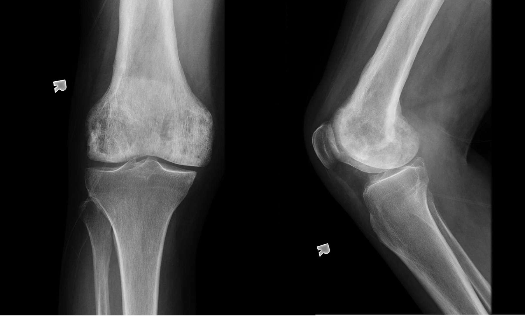
La maladie de Paget aboutit à des douleurs des hanches ou du dos avec déformation des os longs.
Les premiers signes de la démence frontotemporale sont des troubles de l'odorat, du calcul mental, des troubles de la compréhension avec la fonction mémorielle conservée au début. Plus tard, il y a disparition de la fonction verbale, un trouble total de la compréhension, une impossibilité des gestes simples, de la lecture et de l'écriture.
L'âge moyen du diagnostic est de 42 ans pour les troubles musculaires et la maladie de Paget et de 55 ans pour la démence frontotemporale.
Le diagnostic de cette maladie se fait sur les signes cliniques, biologiques et de l'imagerie médicale.
Le séquençage du gène permet de déceler la mutation dans 100 % des cas. Dix mutations sont connues, intéressant les exons 3, 5, 6 et 10.
Notes et références
Liens externes
- Page spécifique sur Orphanet
- (en) Virginia Kimonis, Giles Watts : Inclusion Body Myopathy with Paget Disease of Bone and/or Frontotemporal Dementia GeneReviews at GeneTests: Medical Genetics Information Resource (database online). Copyright, University of Washington, Seattle. 1997-2007. [1].
- Portail de la médecine
- Portail de la biologie cellulaire et moléculaire




